0 Permissible radiation dose



Radiation dose permissible in mSV/year

  • to radiation-occupational worker is 20
  • to lens is 150 
  • to skin is 500
  • to hands and feet is 500
  • to fetus (during entire pregnancy) is 2

1SV = 100REM
1Gy = 100RAD
For X-Rays and Gamma rays 1Roentgen = 1RAD = 1REM



MedicoNotebook - Founder : DrShiviMudgal , Co-Founder : DrAyushGoel

0 Medical One Liners 241 - 250



241. Lytic expansile bone metastases from - Kidney & Thyroid malignancies.

242. Paraduodenal hernias - the most common type of internal hernias.

243. Comet Tail on USG - Adenomyomatosis of the gallbladder
        Comet Tail on CT - Round atelactasis

244. The term " Chasing the dragon " is used for imaging of heroin inhalation leukoencephalopathy.

245. Double layered patella is characteristic for Multiple epiphyseal dysplasia.

246. Linguine sign - intracapsular rupture of a breast implant.

247. Lyre sign - splaying of the internal and external carotid by a carotid body tumour.

248. Dysplasia epiphysealis hemimelica = Trevor's disease, characterized by irregular overgrowth of part of an epiphysis.

249. Urinomas are most commonly in the perirenal space.

250. Wilhelm Conrad Röntgen was born on - 27 March 1845.
On 8 November 1895, produced and detected electromagnetic radiation in a wavelength range today known as X-rays.



MedicoNotebook - Founder : DrShiviMudgal , Co-Founder : DrAyushGoel

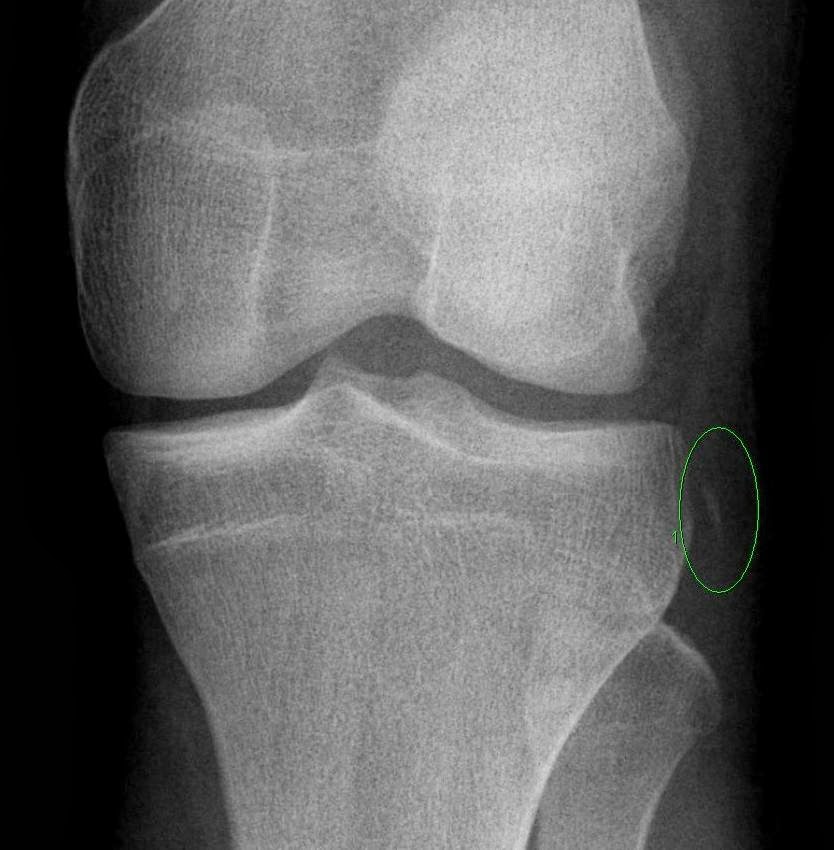
0 Segond fracture



Segond fracture = avulsion of the anterolateral aspect of the lateral tibial plateau

Mechanism - internal rotation of tibia + varus stress

Originally postulated - avulsion of the lateral capsular ligament,
Recent MR study suggests - it occurs at the distal attachments of the iliotibial tract or Lateral Collateral Ligament. (ref: CT and MRI of the Whole Body, Fifth Edition, John R. Haaga)

Most common ASSOCIATED injury - ACL tear (75-100%)
2nd MC - Meniscal tear (medial or lateral, mostly posterior horn)(66-75%).











MedicoNotebook - Founder : DrShiviMudgal , Co-Founder : DrAyushGoel

0 Medical One Liners 231 - 240



231. Chief artery supplying breast - Lateral thoracic artery 

232. Wheel within a wheel and Bull’s eye lesion is seen in hepatic ultrasound of - Liver candidiasis.

233. Berger's hernia - hernia in Pouch of Douglas

234. Petit's hernia - hernia through Petit's triangle = inferior lumbar triangle

235. Grynfeltt's hernia - hernia through Grynfeltt-Lesshaft triangle =superior lumbar triangle.

236. During muscle contraction H zone disappears, width of I band reduced ,A band remains unchanged.

237. Maximum potassium ion concentration in Colonic Fluid.
        Maximum Potassium secretion is by saliva.

238. Gantzer's muscle is accessory belly of the flexor pollicis longus muscle.

239. Cella media index > 4 is normal

240. Distal part of the tendon of Adductor magnus detaches and becomes the medial collateral ligament (Tibial collateral ligament) of the knee.









MedicoNotebook - Founder : DrShiviMudgal , Co-Founder : DrAyushGoel

0 Medical one liners 221 - 230



221. HMG-CoA-reductase catalyzes the rate-limiting step in cholesterol metabolism.

222. Agger nasi air cells are the most anterior ethmoidal air cells.

223. Hidebound bowel sign or the stack of coins - seen on barium study of small bowel in scleroderma.

224. Bigliani classification is used for acromion morphological types.

225. Climber's muscle - Latissmus dorsi.

226. Tailor’s muscle - Sartorius.

227. The endocervical canal measures 7 to 8 mm.

228. Crypts of Lieberkuhn are seen in Duodenum.

229. Corpora arenacea (or Brain sand) are calcified structures in the pineal gland and other areas of the brain such as the choroid plexus.

230. Oligodendrocytes and Schwann cells are involved in myelin formation around axons in the CNS and peripheral nervous system, respectively.





MedicoNotebook - Founder : DrShiviMudgal , Co-Founder : DrAyushGoel
Related Posts Plugin for WordPress, Blogger...
To Search for a "particular word" on "the page on your screen" , press Ctrl + F and then type the word you need to search on the visible page.

eg: If you need to search the word "Anatomy" on this page -- Press "Ctrl + F" , (a box will appear) and then type Anatomy in the box that has appeared.